ダイレクトボンディング
前歯のダイレクトボンディング

主訴 |
可能であれば、神経をとらずに前歯をきれいにして欲しい。なるべく自分の歯を残したい。 |
|---|---|
治療内容 |
右上1番・左上1番のダイレクトボンディング |
治療期間 |
3週間(カウンセリング含め) |
費用 |
77,000円(税込) |
リスク・副作用 |
・経年により変色や着色が生じる場合があります。 ・強い衝撃や咬合力により、充填物が欠けたり脱落する可能性があります。 ・治療後に一時的なしみ(知覚過敏)が生じることがありますが、多くの場合は徐々に落ち着きます。 ・補修や再充填が必要になることがあります。 ・歯を削る量は最小限ですが、健全な歯質をわずかに削合する場合があります。 |
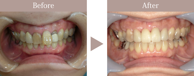
ブリッジ
ジルコニアブリッジ・ジルコニアクラウン

治療内容 |
右上1 歯根破折のため抜歯。右上2~左上1のブリッジ 右上1抜髄。左上2クラウンやり変え 右上2~左上1のブリッジ+左上2クラウンset 計4本分の補綴を装着。 |
|---|---|
治療期間 |
2025年2月~2026年4月 |
費用 |
フルジルコニアBr+フルジルコニアCr 1本 87,000円×4=348,000円 再診療代 500円×5回分=2,000円 |
リスク・副作用 |
ブリッジ 支台歯を大きく削る必要があり、歯への負担が生じます。支台歯にかかる咬合力の増加により、将来的に歯根破折や歯周病の進行リスクがあります。また、ブリッジ下の清掃が不十分な場合、虫歯や歯周病のリスクが高まります。 クラウン 対合歯の摩耗が生じる場合があります。 |
インレー・クラウン
comingsoon
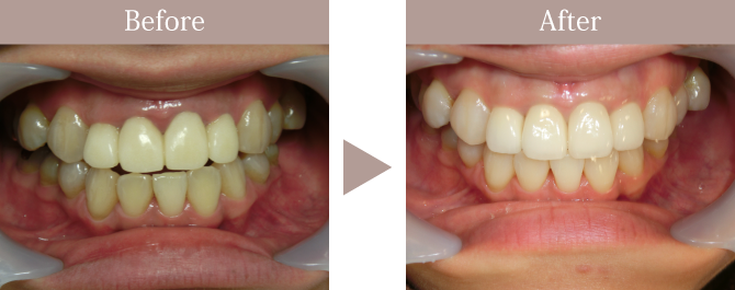
部分矯正
部分矯正・オールセラミック・ホワイトニング

治療内容 |
部分矯正 左上1.2再根管治療+オフィスホワイトニング 左上2~右上2 Cr set(オールセラミック 4本補綴) |
|---|---|
治療期間 |
2019年4月~2021年3月 |
費用 |
部分矯正 351,000円 オールセラミック4本 100,000円×4=400,000円 オフィスホワイトニング 47,300円 リテーナー代・処置料・抜歯代など 86,600円 ※上記、料金改定前の価格になります |
リスク・副作用 |
部分矯正 歯の移動に伴う痛みや違和感、歯根吸収、歯肉退縮が起こる場合があります。保定が不十分な場合、後戻りのリスクがあります。 再根管治療 治療後に痛みや腫れが生じる場合があります。歯根の状態によっては治癒が得られず、抜歯が必要になる可能性があります。 オフィスホワイトニング 施術中や施術後に一時的な知覚過敏が生じることがあります。効果には個人差があり、色の後戻りが起こる場合があります。 補綴(クラウン) 強い衝撃により欠けや破折のリスクがあります。 |

































